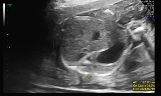
https://i.imgur.com/VuN1ON7.jpg
昨天去產檢,醫生覺得寶寶的胃偏大之後要注意觀察 我搜尋了一下好像只有看到胃太小的文,請問大家有沒有遇過類似情況? 我後來看了一下22週的高層次照片,那時候寶寶也是胃大大的,但那時只說是寶寶可能剛 吃飽 https://i.imgur.com/amlKp09.jpg
每一胎的狀況真的不一樣,這次第二胎先歷經羊水少週數小三週,到現在追到剩小一週, 但昨天醫生又提醒胃好像偏大,只希望二寶可以健康平安出生~ -- ※ 發信站: 批踢踢實業坊(ptt-web.org.tw), 來自: 101.12.24.40 (臺灣) ※ 文章網址: https://ptt-web.org.tw/BabyMother/M.1700797726.A.8D2
ROYUHAN : 我兩胎胃都大一週 老大出來食量大了點就是 11/24 12:45
smilemibo : 我也在二十週左右超音波照出小孩胃偏大,但觀察了兩 11/24 15:18
smilemibo : 三週之後又恢復正常了,現在出生一切正常,醫生也說 11/24 15:18
smilemibo : 膀胱跟胃有可能因為剛吃飽或者還沒排泄剛好被照到所 11/24 15:18
smilemibo : 以會比較大 11/24 15:18
sijiex: 男友上包養網 該放生嗎 11/24 15:18
satuki29 : 謝謝r大跟s大,這樣我安心多了,之後產檢再多注意 11/24 17:18
catnip25 : 我第二胎就是胃大很多,因此換很多醫院跟醫生檢查 11/24 23:59
catnip25 : ,都一致認同是結構異常,還緊急補做羊晶,最後寶 11/24 23:59
catnip25 : 寶生出來只是個大胃王,其實沒怎樣,真的從當下被 11/24 23:59
catnip25 : 告知之後一路從19週擔心到生出來才放心... 11/24 23:59
VLADINA: 是這個包養平台 11/24 23:59
satuki29 : 我之前羊穿羊晶都做了,但被醫生提醒真的很擔心啊T_ 11/25 11:32
satuki29 : T 11/25 11:32
una283 : 醫師看到偏差平均值多少都會提一下 11/26 09:33